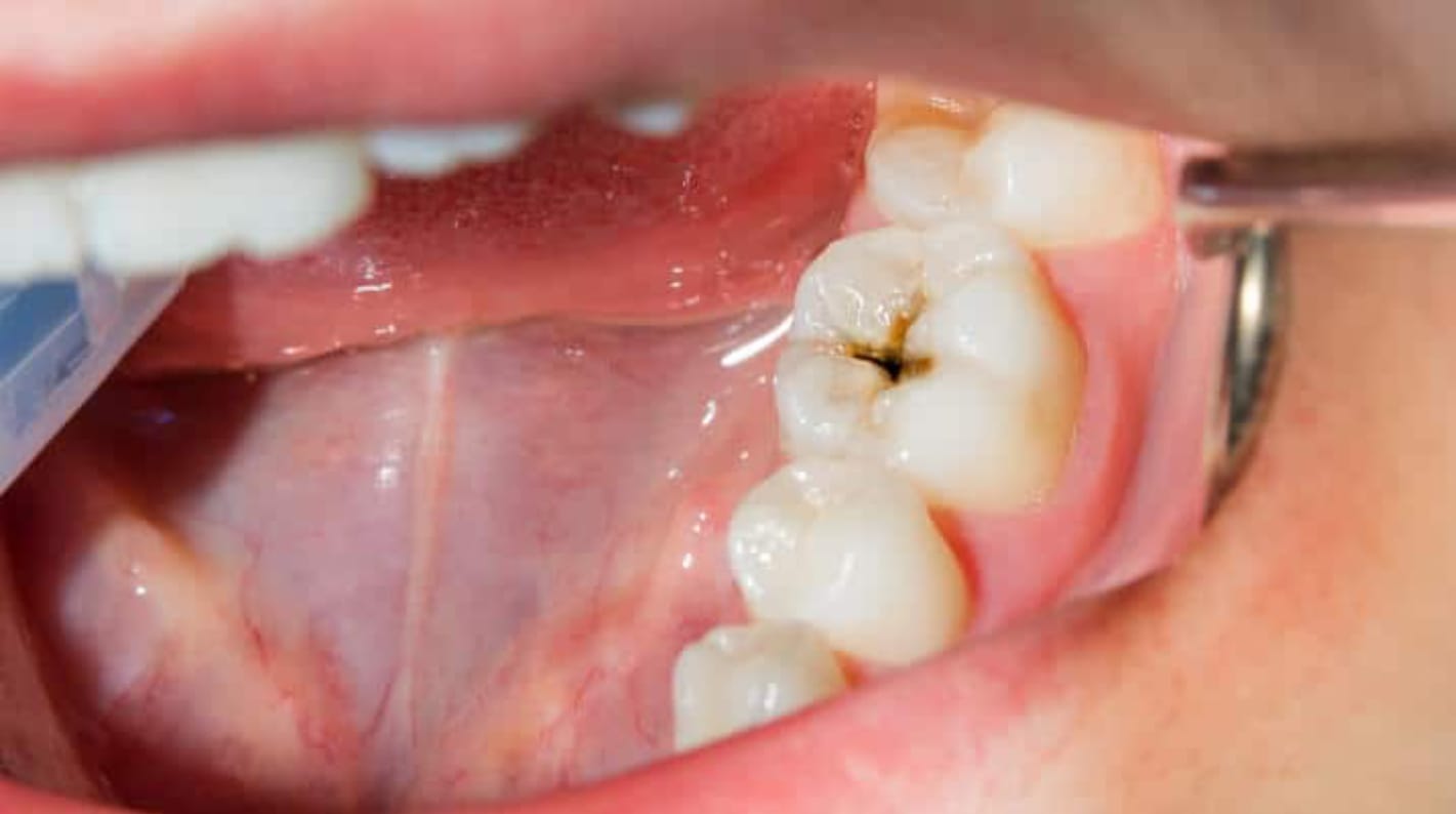
Defining the limits of caries and how far one must go to clean the cavity can sometimes be difficult for even the most clinical eye. One cannot leave a trace of infected tissue, but at the same time must be wary of excessively removing healthy tissue. At

What is Fluorescense-Aided Caries Excavation (FACE)?
At Dentaltix we like to offer all the latest news and dental products to the dental professional, so we always have our catalog updated. One of our most important updates is the incorporation of the fluorescence caries detection system. Fluorescense-Aided Caries Excavation (FACE) will allow you to easily locate those nebulous limits between healthy tissue and diseased tissue. It will allow you to achieve a greater speed and ease of execution, saving time for the professional. Finally it will maintain the greatest amount of healthy dentin compared to the most aggressive conventional treatments. Thus permitting a more conservative and simple subsequent restoration.
How does the Fluorescence coupling work? The MX compatible Fluorescence HD coupling is an auxiliary element that helps locate cavities, since under a beam of luminescence, a reddish color appears. Contrarily, healthy, bacteria-free tissue appears green. Thanks to this contrast, the dentist can very easily identify cavities and, through the turbine 757 PROSTYLE SF Ceramic by Lares or another model with a KAVO connection, you will be able to work and remove them correctly.

This innovative technique is possible thanks to the MX Fluorescent LED coupling. It reduces the need for extraction, the caries detection time, and the risk of extraction, so it will be an especially useful coupling to optimize the extraction of caries. It is very important that the dentist use protective glasses to perform this technique and thus obtain a correct vision of the fluorescence. In addition, it is not necessary to use staining products or other invasive materials.
Important information about the fluorescence caries detection technique:
- The methodology used is very similar to the traditional one and the preparation of the cavity can be done both with conventional rotary instruments and with manual excavators.
- Long jobs, that is, those that last more than five or ten minutes, can be combined with the standard led coupling, and thus you can check if carious tissue is being removed satisfactorily.
- You must work in environments with dim light or in dim light, since the higher the contrast, the better you will be able to differentiate the colors in the cavity.
Maintenance of the Fluorescence LED MX coupler:
Cleaning the coupling must be done manually. Exterior cleaning can be done with an isopropyl alcohol solution and a dry cloth. You should never place it in an ultrasonic cleaner, as it could cause a malfunction. External cleaning can be done with hot tap water between 40° and 5° and with a medium-hard toothbrush. To dry it completely, you can use filtered compressed air. The Lares Fluorescence HD LED MX coupler can be sanitized by chemical disinfectants, but should not be immersed in any solution.

Thanks to the Fluorescence HD LED MX coupling you will take advantage of the power of light and achieve optimal results in the location of cavities, minimizing the need for extraction. It is the ideal product for those difficult and compromised cavities!