In daily practice, one of the greatest challenges in restorative dentistry is achieving composite restorations that combine excellent marginal adaptation, natural aesthetics and hi
Dentaltix´s Blog
At Dentaltix we’re passionate about staying up to date with the latest from the dental sector and we love to share it all with you through this blog. If you like our work, don’t hesitate to share it with your colleagues and friends.
In daily clinical practice, the choice of temporary material can make the difference between a predictable treatment and one fraught with complications.
In restorative dentistry, simplifying clinical protocols has become a priority for improving efficiency without compromising quality.
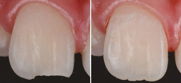
What could be simple about a peg-shaped restoration?
Calcium hydroxide is one of the most widely used cements in dental clinics, both in restorative dentistry and endodontics.
November means UNIQUE Offers at Dentaltix!
Dental thermoforming machines have become an essential tool in the manufacture of splints, mouthguards, and other clinical devices made from thermoplastic sheets.
Orthodontics is one of the best known and most sought-after specialities in dentistry, but it is also one of the most technical.
Among dental rotary instruments, the contra-angle handpiece plays an essential role due to its precision, versatility and ergonomics.
Thermoforming sheets or thermoplastics are an essential element in the daily work of dental clinics and laboratories.
Professional oral hygiene is one of the cornerstones of any dental treatment, whether preventive or restorative.
Fluoride remains one of the fundamental pillars in the prevention of dental caries and enamel remineralisation.
Technology has radically transformed the way professionals approach treatments.
In dentistry, knowing the theory is not enough: professional skill is achieved through constant practice.
In restorative dentistry, professionals must consider multiple factors that directly influence the choice of the most appropriate treatment.
Bruxism, whether in the form of clenching or grinding, represents one of the greatest challenges when planning posterior restorations.
In the world of modern dentistry, choosing the right restorative material is fundamental to ensuring high-quality functional and aesthetic results.
In dentistry, each tool serves a specific purpose, but few have such a direct impact on the patient experience and practitioner comfort as the dental chair. Much more than just a s
In the field of periodontics, curettes have become essential tools for preserving the health of the tissues that support the teeth.
Have you ever wondered why there is such a big price difference between one polymerization lamp and another?
Sterilisation is one of the most important processes in a dental clinic, as it ensures the safety of patients and healthcare personnel.
Modern dentistry has advanced greatly thanks to innovative technology and materials, allowing for high-quality results in every procedure.
In the field of dentistry, the dental laboratory is a fundamental pillar for ensuring the success of treatments and patient satisfaction.
November is synonymous with UNIQUE Offers at Dentaltix!
Purchasing rotary instruments can be a significant but necessary investment for your dental clinic.
Astringents are key chemical agents for controlling gingival recession.
In modern dental practice, dental X-rays has become an indispensable tool.
In modern dentistry, aesthetics and functionality go hand in hand.
Dental forceps are habitual instruments in dental practice, as they are designed for exodontia or the extraction of teeth, a fairly common procedure.
A dental matrix is a band that adapts to the surface of the tooth to be restored and reproduces the anatomical contours, replacing the missing wall or walls and containing the rest
Haven't you switched to Flow yet? Keep reading and we will tell you how fluid composite can help you improve your daily practice in consultation.
Do you have doubts when choosing dental cement? Discover how to simplify cementation and optimize your practice and inventory.
Trick or treat? Halloween is, in recent years, a widespread festival in Europe and one of the occasions in which many, many sweets are eaten.
Dr. James Young Simpson was thoughtful and nervous, as it was a difficult case. His patient was a woman with a deformed pelvis and the challenge of giving birth.
Flowable composites are more than just low-viscosity dental composites, they are incredibly versatile materials that offer many restorative opportunities.




































