The impression taking in dentistry , one of the most common in everyday clinical and multiple materials and thousands of options to choose techniques. From the anc
Dentaltix´s Blog
At Dentaltix we’re passionate about staying up to date with the latest from the dental sector and we love to share it all with you through this blog. If you like our work, don’t hesitate to share it with your colleagues and friends.
Handpieces sare one of the most common dental instruments used in dentistry.
Every time we meet with more demanding patients in the day to day of a dental clinic. These patients have different concerns and motivations, and it is important that as professionals we are able t
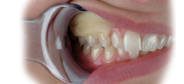
In the world of modern dentistry, the technology plays a crucial role in the improvement of services and patient care.
The laser in dentistry a futuristic advance become a reality for all dentists and oral surgeons , interventions in all kinds of soft tissu
The retreats root canal or re-endodontic treatment , are inevitable procedures even with ideal clinical guidelines. A minimal focus of remnant infection
The silver and mercury amalgams one of the oldest materials in restorative dentistry in use after almost 200 years. It revolutionized the treatment of cari
At this time of the year, from September to November, with the beginning of classes and the return of the holidays, it is very common to begin orthodontic treatments . For this rea
The IDS fair is the largest dental exhibition held every two years in the German city of Cologne from 12 to 16 March 2019 .
The endodontic motors are devices designed to facilitate the endodontic process, since they allow the use of mechanical
The pliers is a basic instrument for the Orthodontist and for the General Dentist, but do you really know how many types of Orthodontic pliers the
Surgical cements function as periodontal and soft tissue apostles after the oral surgeries and dental removals to protect the sutures
A basic instrument for the orthodontist and general dentist, but do you really know how many types of orthodontic pliers are and what they really are for?
Dental aspiration systems were invented in 1961, by a German manufacturer company.
Dentaltix, your dental deposit, wishes you happy holidays and offers you 5% off additional on your next purchase! Discover in this article how to benefit from it.
Did you know that even if you are in a "perfect" sitting position, more than half of your muscles are in sustained contraction (without relaxation intervals)?
Thanks to the ergonomic progress made over the years, dental professionals have been able to modify and optimize their working environment.
Repair a defective restoration or remove it and start from scratch? A habitual dilemma in most clinics.
At this time of year, from September to November, with the school years starting and summer ending, it is very common to start orthodontic treatments.
Think that orthodontics is a kids thing? In this infographic we explain how current dentistry allows children and adults to obtain a healthy and healthy smile using different types
Dental Typodonts are models for the study and college practice of Dentistry, they allow the first incursion to invasive treatments without having to compromise the
Currently the manufacturers of orthodontic material offer us a wide variety of bracket for all types of orthodontic treatments.
Are you studying dentistry or about to start your degree and are a little overwhelmed with the sheer variety of products and materials you will need?
We know very well that the purchase of handpieces can be relatively expensive and that you will most definitely need to renew your handpiece instrument at some point in time. Nonetheless, there are
Implantology motors are indispensable electrical devices in the process of placement of dental implants.
We are increasingly encountering more demanding patients in the daily life of a dental clinic.
After our previous article: "Everything you should know about endodontic f
Numerous dentist associations warn of the proliferation of dental whitening offers at very low prices, while also trying to inform patients of the various consequ
Dental turbines are some of the most widely used instruments in dentistry.
In our previous blog, tips for picking a straight handpiece, we mentioned that handpieces are always attached to dental
Buying rotary dental equipment is an easy task when you are used to buying the same equipment every time.
How many types of dental burs exist? This is a question with a difficult answer since the catalog consists of hundreds of varieties, shapes, and brands.
In this article you will learn all about the different instruments used in endodontics.
Rubber Dam:
You probably wondered why there's such a big difference in price between some curing lights and others.
Within the world of endodontic instruments lays the endodontic files used for root canal procedures.
Because there are more than 5,000 types of dental burs which differentiate themselves by their shape, size or the material they are made out of, this makes them one of




































