Se estima que el 50% de las personas infectadas con el Virus de Inmunodeficiencia Humana (VIH) presentan sus primeros signos en la cavidad bucal. Como profesionales de la salud, es importante tener en cuenta que con una simple revisión dental podríamos descubrir la infección en un paciente antes incluso de su diagnóstico. Es este post te recordamos cuáles son estos signos y cómo tratarlos, porque un diagnóstico a tiempo puede cambiar por completo la evolución de la enfermedad y la calidad de vida del paciente.
Según los datos de ONUSIDA, de los casi 38 millones de infectados, 9.4 millones de personas no saben que padecen VIH. Una cifra muy preocupante, ya que, al desconocer la positividad del virus, este puede ser transmitido con mayor facilidad. Además, cuánto más se retrase su diagnóstico, más tarde comenzará el tratamiento el paciente y en eso dependerá la evolución de la enfermedad.
La importancia de identificar a tiempo una infección por el Virus de Inmunodeficiencia Humana (VIH) radica en evitar que el virus evolucione a una fase más avanzada. Concretamente al Sindrome de Inmunodeficiencia Adquirida (SIDA), que es la enfermedad que el VIH provoca y que se caracteriza por la peligrosa incapacidad de producir patógenos, debilitando gravemente el sistema inmune. Sin embargo, con una medicación adecuada y controlada, se puede evitar que las personas portadoras de VIH lleguen a esta última fase de la enfermedad.
En cualquier caso, y al igual que con el resto de pacientes, debemos desinfectar y esterilizar nuestra clínica dental tal y como exige el protocolo. En este blog te damos todas las claves.
Manifestaciones en la boca:
Es frecuente que personas contagiadas de VIH desarrollen afecciones en la cavidad bucal pues su sistema inmune se encuentra deprimido. Se pueden observar en personas recién contagiadas úlceras, aftas, leucoplasias o infecciones causadas por hongos. Entre las manifestaciones más comunes, se encuentran:
Candidiasis
Se trata de la afección más frecuente en personas contagiadas por VIH.
El hongo Cándida suele extenderse por el paladar y pliegue de la lengua en forma de aftas de color blanco.
Puede ser eliminado manualmente y/o con la aplicación de anti-fungicidas. Si el sistema inmune está muy deprimido es probable que vuelva a aparecer.
Verrugas Bucales
No causan dolor al paciente y pueden manifestarse en cualquier punto de la cavidad bucal con apariencia de mancha con relieve.
Son provocadas por el Virus del Papiloma Humano (VPH) y pueden eliminarse fácilmente con crioterapia o laser, aunque es muy probable que salga nuevamente.
Leucoplasia Oral Pilosa
Acostumbra ser uno de los primeros signos en personas contagiadas por VIH.
Se manifiesta en forma de parches de color blanco y con cierta espesura en encías, boca, interior de la mejilla y lengua. Su causa es el virus de Epstein-Barr y se elimina raspando los parches.
Aftas y úlceras
Aunque son incómodas no tienen cura, pueden salir en cualquier punto de la boca. Se caracterizan por ser redondas, de color blanco en el centro y bordeadas de un color rojizo.
Puede ser administrado algún medicamento para suavizar los síntomas pero se curan por sí solas, a veces tardando hasta dos semanas.
Sarcoma de Kaposi
El virus herpes humano 8 (VHH-8) puede causar el sarcoma de Kaposi. Un cáncer que en pacientes sanos no suele presentar síntomas pero que en personas con el sistema inmune deprimido, como es el caso de los seropositivos, puede evolucionar de manera diferente.
El cáncer se manifiesta en forma parches de tejido rojo, no solo en la cavidad bucal sino también en:
- Conducto nasal
- Garganta
- Ganglios
- Otros órganos
No tiene por qué causar síntomas y puede extenderse a otras zonas que pueden causar sangrado, como es el caso del sistema digestivo o los pulmones.
La manera de tratar esta enfermedad depende de cada caso en función del grado de alcance. Puede ser útil la radioterapia, cirugía, quimioterapia o terapia biológica.

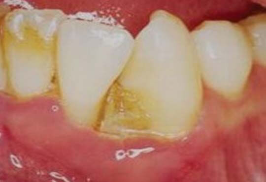
Eritema Gingival Lineal
También denominado Gingivitis de banda roja, se manifiesta como una inflamación en forma de banda (eritema) rojiza en la zona cervical del diente, justo donde la pieza y el tejido gingival se unen.
El procedimiento más habitual para tratar esta gingivitis es con una limpieza profunda y un enjuague con una solución de Clorhexidina.

Periodontitis Ulcerativa Necrotizante
Diferentes bacterias pueden ser las causantes de esta afección que causa lesiones necrotizantes en el tejido gingival y en el hueso del soporte.
El paciente puede presentar:
- Dolor de mandíbula
- Sangrado de encías
- Destrucción de tejido blando y óseo
- Halitosis
- Inflamación
Lo más adecuado es una limpieza dental profunda, raspar los tejidos dañados y enjuague con Clorhexidina combinado con otros medicamentos dependiendo del grado de avance de la infección.

Sequedad bucal
La ausencia de saliva en la boca realmente no es provocada por la enfermedad sino por el tratamiento de la misma.
Una boca seca no solo dificulta la ingesta de alimentos, sino que aumenta las posibilidades de sufrir otras patologías como caries, gingivitis o aquellas provocadas por otras bacterias, virus y hongos.
Tenemos que destacar que el simple hecho de identificar estas afecciones no es indicativo de que una persona necesariamente haya sido contagiada de VIH. Si tenemos la mínima sospecha en base a nuestro criterio profesional, no debemos alarmar al paciente. Le recordaremos cuáles son las principales causas de contagio y recomendaremos visitar un centro especializado para descartar la posibilidad sometiéndose a una prueba diagnóstica.
Relación entre COVID y VIH
Como consecuencia del confinamiento, de las restricciones y la saturación del sistema sanitario, el número de realización de pruebas de diagnóstico de VIH ha disminuido significativamente. El Centro Europeo para la Prevención y el Control de Enfermedades (ECDC) y la Oficina Regional de la OMS para Europa cuantifican esta cifra en una reducción de un 24% en Europa en el año 2020.

Este dato asusta a expertos, pues el número de casos no diagnosticados en nuestro continente no ha parado de crecer en los últimos años. Además, el último informe del ECDC, advierte de que el COVID-19 no solo está afectando al servicio de prevención y detección sino también a la provisión de Profilaxis de prexposición (PrEP) y programas de atención y tratamiento.
Por otro lado, cabe mencionar que las personas infectadas de VIH pertenecen al grupo de riesgo. Lo cual se traduce en cuadros por COVID más graves y morbilidad asociada. Además, el riesgo de muerte por coronavirus es el doble que el resto de la población. Por eso es fundamental el uso de mascarilla de alta protección y la desinfección de manos periódicamente en estos pacientes.
¿Cómo debemos actuar en consulta?
Los datos ponen de manifiesto que una revisión en consulta puede ser crucial para la detección precoz del Virus de Inmunodeficiencia Humana (VIH). Desde el Consejo General de Dentistas de España se recuerda que las clínicas llevan años preparadas para atender a pacientes con patologías infectocontagiosas. Se trata de un espacio seguro tanto para los pacientes como para los profesionales que allí trabajan.
Al igual que el resto de pacientes, debemos manifestar a los seropositivos la importancia de realizar revisiones periódicas para prevenir y tratar enfermedades orales. Un control regular de las afecciones asociadas al virus, así como limpiezas dentales en profundidad van a lograr una mejora en su salud bucodental y un bienestar general del paciente.
Siempre bajo supervisión del odontólogo, se recomienda el uso de colutorio, hilo dental y cepillar los dientes después de cada comida con un cepillo dental suave, dependiendo de las necesidades de cada paciente.
Esperemos que te haya sido útil la lectura de hoy. ¡Si tienes cualquier duda o consulta no dudes en contactar con nosotros! Síguenos en nuestras redes sociales y ¡No te pierdas nada! ¡Hasta pronto!








