En dentisterie restauratrice, la recherche de techniques et de matériaux alliant esthétique, résistance et préservation des dents a conduit au développement de solutions sophistiquées.
Le Blog de Dentaltix
Chez Dentaltix, nous sommes passionnés par ce qu’il y a de nouveau dans le secteur dentaire et nous aimons le partager avec vous grâce à ce blog. Si vous aimez notre contenu, n’hésitez pas à le partager avec vos collègues et amis.
Dans le monde de la dentisterie moderne, le choix du bon matériau de restauration est essentiel pour garantir des résultats fonctionnels et esthétiques de haute qualité.
Dans la dentisterie d'aujourd'hui, les progrès des matériaux et des techniques ont conduit à une révolution dans le domaine de la restauration esthétique et fonctionnelle des dents.
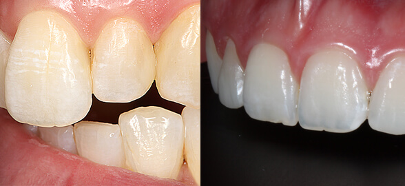
Les facettes en composite sont une solution cosmétique populaire en dentisterie qui permet d'améliorer rapidement et efficacement l'apparence des dents.
Dans la dentisterie moderne, l'esthétique et la fonctionnalité vont de pair.
Vous n'avez toujours pas adopté Flow ? Lisez la suite pour découvrir comment les composites fluides peuvent vous aider à améliorer votre pratique quotidienne.
Les 30 dernières années ont été marquées par une avancée remarquable dans la technologie des matériaux dentaires restaurateurs,
Réaliser une restauration peut être complexe, c'est pourquoi chez Dentaltix nous souhaitons vous fournir toutes les informations et alternatives du marché pour vous faciliter la tâche.
Le composite dentaire est l'un des matériaux les plus couramment utilisés aujourd'hui dans les cliniques denta
Pouvez-vous imaginer pouvoir réaliser une restauration dentaire hautement mimétique en utilisant une seule couleur de composite ?
Dr Teo Vaca s'est arrêté chez Dentaltix pour parler de "restauration : fonction et esthétique des composites".
Dans le secteur dentaire, nous trouvons une grande variété de composites, heureusement 3M dispose d'une grande variété de produits qui s'adaptent aux différents besoins de vos patients.
La levée d'occlusions est une technique utilisée pour débloquer l'occlusion, empêcher les dents supérieures d'entrer en collision avec les dents inférieures ou obtenir un plus gran
Au mois de novembre 2020, Medicaline a organisé une conférence en ligne (webinaire) sur les restaurations directes.
Les composites Tetric Evo de la marque Ivoclar Vivadent
La qualité et l'évolution continue de ses produits, ainsi que 80 ans d'expérience, font de Kuraray est un leader
Vous souhaitez choisir la teinte idéale pour reproduire une dent naturelle ? Soyez prudent car ce n'est pas une tâche facile!
Parler de restaurations et d'esthétique dentaire peut sembler difficile.
Le composite Venus Bulk Flow ONE est la nouveauté de Kulzer et il faut remarquer qu'avec de telles caractéristiques, même si cela semble contradictoire, il ne passe pas inaperçu.
Filtek Universal Restorative est un composite conçu pour ceux qui veulent simpl
Dans ce blog, nous vous présentons une étude de cas sur la stratification d'une restauration en composite de classe IV avec G-aenial A'CHORD.
Imaginez-vous pouvoir réaliser une restauration hautement mimétique en utilisant une seule teinte de composite ?
Vous souhaitez sauter l'étape de la sélection de la couleur de votre composite habituel ? Le composite universel utilisant la technologie Adaptive Light Matching rend vos restaurat
L'un des aspects à prendre en compte pour travailler en toute sécurité au cabinet dentaire est le format du produit.
En plus du célèbre Filtek Universal, 3M ESPE, connaissez-vous la gamme complète des produits Filtek ?
Nous avons eu le plaisir de discuter avec le Dr Teo Vaca, de la société SDI, des lignes directrices qui peuvent vous aider à réussir
Nous allons ici vous parler d'une nouveauté : un matériau récemment incorporé dans le portefeuille de 3M de la famille Filtek, qui facilite l'exécution de restaurations est
Pour réaliser cet article, nous avons invité le Dr. José Gabriel Martínez Colmenares, avec la collaboration d'Ultradent.
Face à l'infinité de composites qui existent sur le marché dentaire, de nombreux dentistes n'ont pas encore trouvé le composite idéal pour chaque cas.






























