Nous allons ici vous parler d'une nouveauté : un matériau récemment incorporé dans le portefeuille de 3M de la famille Filtek, qui facilite l'exécution de restaurations esthétiques avec un mimétisme parfait et avec une seule teinte. Alors, si l'esthétique dentaire vous intéresse et que vous rencontrez encore quelques difficultés, cet article est pour vous.
Pour présenter cette nouveauté, nous avons eu le plaisir de rencontrer le Dr Ana Andrés qui est dentiste, spécialiste en esthétique dentaire et en dentisterie restauratrice avec intervention minimale, professeur dans plusieurs universités et, qui travaille comme spécialiste clinique chez 3M depuis 2 ans.
Restaurations esthétiques avec composites :
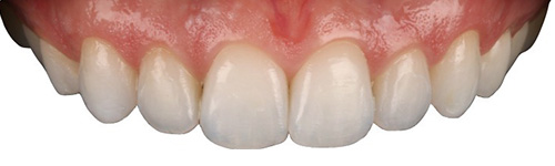
Si vous aviez affaire à un cas esthétique comme celui que nous montrons plus loin dans les images, dans lequel vous deviez changer la forme des dents et éclaircir la teinte, en ne faisant que quelques facettes en composite et si vous vouliez aussi obtenir quelques zones translucides, vous devriez mélanger plusieurs opacifications. Peut-être devriez-vous utiliser un vernis et pour la zone intérieure, qui est plus opaque, un body.
N'importe quel chirurgien-dentiste pourrait souligner, en regardant les images, que le professionnel qui a réalisé ces restaurations a utilisé une technique de stratification dans laquelle il a dû utiliser différents matériaux. Pour utiliser cette technique, il faut bien connaître le matériau et son épaisseur, afin de ne pas avoir des restaurations trop translucides ou trop opaques.


Source : Dr Rafael Calixto
Cependant, le Dr. Rafael Calixto, pour parvenir à ce résultat, l'a fait avec une seule seringue en composite, avec un merveilleux polissage, avec des zones grises qui imitent parfaitement l'émail. Quel composite aurait-il utilisé ?
Composite Filtek Universal Restorative de 3M
Dans le cas des précédentes restaurations, le nouveau Composite Filtek Universal Restorative a été utilisé. Nous détaillons ci-dessous tous les avantages de ce matériau de restauration.
Simplifie la sélection des couleurs :
Il comporte 8 nuances, un extra-blanc (XW) et un Pink Opaquer ou rose opaque (PO) pour couvrir la plupart des cas et simplifier le choix de la couleur.
Le Dr Paradina, dans le centre de développement des biomatériaux et biomimétiques, a vérifié que, ces 8 teintes que possède le Filtek Universal, correspondent à celles du guide VITA. Par conséquent, une seule nuance peut couvrir plusieurs teintes du guide. Autrement dit, si votre patient se situe dans les limites de ces nuances du Guide VITA, y compris les nuances de blanchiment, vous pourrez résoudre le cas avec le Composite Universel de 3M.
Pour cette dent foncée, qu'il est impossible d'imiter, car il faut utiliser une dentine très opaque, puis du body, de l'émail et beaucoup sculpter, 3M a développé le Pink Opaquer (PO), un opacifiant rose (pas blanc car il serait alors très difficile à recouvrir et il faudrait ajouter de nombreuses couches). Ce Pink Opaquer est un ton chaud, qui se masque très bien, est extrêmement opaque, ce qui fait que lorsque vous posez le body au-dessus, la couleur sombre en dessous disparaît. Il n'a pas besoin d'être sculpté et grâce à son aspect crémeux, on peut, avec une brosse, créer une fine couche, placer le body par-dessus et obtenir ainsi une dent naturelle et intégrée.

Source : données internes de 3M
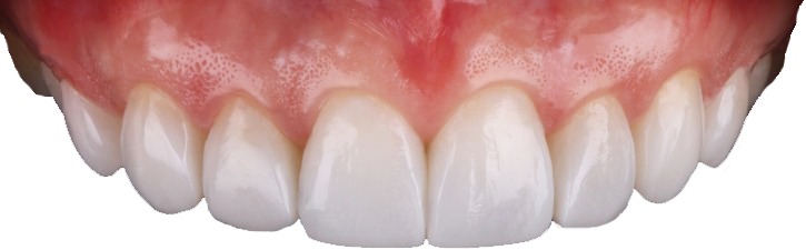
Patients ayant eu un blanchiment, dents extra blanches :
Dans le cas de restaurations pour des patients qui ont eu leurs dents blanchies, pour vous en tant que chirurgien-dentiste, il sera difficile de trouver un composite qui s'harmonisera avec ces dents car elles sont plus blanches. Avec le composite universel de 3M, vous pouvez effectuer votre traitement avec une seringue unique XtraWhite (XW). Le traitement des patients qui ont bénéficié de traitements de blanchiment ne sera plus une complication.
L'image suivante est une comparaison du composite extra-blanc de Filtek Universal, avec certains composites concurrents, sur laquelle vous pouvez voir que, sur le guide VITA extra de dents blanchies, avec une seule nuance de blanc, vous pouvez couvrir les 3 nuances de dents que votre patient pourrait avoir après son blanchiment.

Source : données internes de 3M
Matériau biomimétique :
Grâce à la technologie que possède ce matériau, on pourrait dire que ce composite a un aspect caméléon, car il imite parfaitement la dent, imitant très bien l'émail et la dentine.
Technologie NaturalMatch :
NaturalMatch est le terme qui décrit la combinaison des technologies brevetées et des caractéristiques de 3M relatives à Filtek Universal Restorative, qui vous offre également un ensemble de propriétés esthétiques et physiques. Il s'agit d'un mélange de nanocharges uniques, de pigments et de monomères à faible rétraction.
Pour que les restaurations aient la lumière et la vitalité nécessaires, Filtek universal dispose des pigments fluorescents qui donnent aux dents un aspect naturel et brillant.
Cette technologie est présente dans tous les composites de la famille Filtek.
La technologie des nanocharges permet : la stabilité du polissage, une meilleure manipulation et une résistance accrue
Qu'est-ce que le nano-remplissage ?
La distinction importante entre le 3M Filtek Universal Restorative (un véritable nanocomposite) et les microhybrides/nanohybrides est que ses nanoparticules ne sont formées que de particules inférieures à 100 nm et ne sont pas le résultat d'un processus de broyage. Certaines nanoparticules sont fusionnées en nanoclusters qui se séparent à une vitesse similaire à celle de l'usure de la matrice de résine environnante lors de l'abrasion (comme l'abrasion d'une brosse à dents). Par conséquent, les restaurations réalisées avec ce composite sont capables de maintenir un brillant de surface doux pour une excellente esthétique.
En outre, les nanoclusters ont une taille d'environ 1 à 3 microns, une plage de taille similaire à celle des charges que l'on trouve dans les composés hybrides. Cela permet d'obtenir une charge de remplissage élevée, ce qui se traduit par d'excellentes propriétés physico-mécaniques et de manipulation. Par conséquent, la spatulation sera beaucoup plus facile à réaliser.
Pour faciliter la compression, si vous observez bien, sur l'image microscopique du Dr Perdigão, tout le remplissage, sont des sortes de très petites boules sphériques qui mesurent moins de 1 µm (nanométrique), avec l'avantage que, elles s'unissent pour former des nanoclusters (grappes de nanobolites). Ainsi, il se comporte comme un composite hybride, qui sera capable de résister aux forces de mastication et d'usure, tout en conservant un excellent polissage.
En résumé, la technologie de nano-remplissage confère au Filtek Universal Restorative les caractéristiques suivantes :
- Permet une excellente résistance à l'usure et à la déchirure.
- Contrôle de l'opacité et de la translucidité.
- Excellente tenue du polissage.
- Amélioration de la résistance à la fracture.
- L'usure est similaire à celle de l'émail.
- Excellentes propriétés physico-mécaniques.
- La capacité de brillance, qui apparaît très rapidement et se maintient dans le temps.
Source : SEM photo fournie par le Dr. J. Perdigão, Université du Minnesota.Monomères de méthacrylate innovants :
Avec les générations précédentes de composites universels, la grande majorité avait tendance à se rétracter dans une certaine mesure pendant la polymérisation. Ces monomères méthacrylates traditionnels se rétractent à des degrés divers ; cependant, ils ont souvent tendance à présenter des niveaux de contrainte de retrait plus élevés que certains des nouveaux monomères qui ont été mis au point. Ce sont les monomères à faible contraction, également développés par 3M.
L'un, l'AUDMA (diméthacrylate d'uréthane aromatique), est un monomère à très longue chaîne qui, lorsqu'il se contracte, laisse moins d'espace entre un monomère et un autre. Il en résulte une diminution du retrait de polymérisation et une réduction de la contrainte de retrait de polymérisation.

Structure AUDMA. Source : données internes de 3M
Le deuxième monomère, l'AFM (monomère de fragmentation par addition), se décompose lorsqu'il se polymérise, de sorte que la partie de la molécule qu'il occupe au lieu de réduire l'espace qu'il occupe est agrandie. Ces monomères sont présents dans les composites Bulk Fill, ce qui permet de les placer dans des blocs de 5 mm.

Structure AFM. Source : données internes de 3M
Vous vous demandez peut-être si l'on peut mettre du Filtek Universal dans les cavités de 5 mm parce qu'il contient ces monomères. Non, comme il contient les pigments qui rendent ce composite si mimétique et beau, la lumière n'atteindra pas une épaisseur supérieure à 2 mm.
En quoi les monomères AUDMA et AFM sont-ils meilleurs pour Filtek Universal ?
- Texture plus crémeuse, encore plus que le Bulk Fill.
- Très facile et confortable à utiliser.
- Améliore légèrement la contrainte de rétraction de la polymérisation.
- Le polissage est beaucoup plus rapide, le fait d'avoir ces monomères spéciaux, fait que le polissage est réalisé beaucoup plus rapidement et il est maintenu pendant longtemps.
- C'est un matériau thixotrope. Si vous exercez une pression, elle s'écoule facilement, c'est pourquoi nous recommandons en technique d'injection de l'acquérir sous forme de capsule.
- Offre la possibilité d'être chauffé. Il est assuré par l'ADA. Il peut être chauffé jusqu'à 70° pendant 1 heure et sans perdre ses propriétés physico-mécaniques.
Conception de l'embout de la capsule :
Un autre avantage du Filtek Universal sous forme de capsule est que les capsules sont beaucoup plus longues que celles des concurrents. Leur embout est long de 8 mm et ils sont plus étroits au niveau de la buse pour une application plus facile, avec une pointe très fine. Entre la possibilité d'être chauffé et la thixotropie, c'est un matériau qui peut être injecté et qui peut être placé de manière définitive.
Le composite est donc extrudé sous forme de fluide et devient ensuite plus visqueux pour prendre forme. De même, l'ouverture fléchit pendant la mise en place, ce qui permet une bonne adaptation aux zones difficiles d'accès.
Différents conditionnements de Filtek Universal Restorative par 3M :
Filtek Universal Restorative est disponible en différents formats. Le conditionnement en capsules ou comprimés, se compose de 20 capsules de 0,2 gr, disponibles dans les nuances A1, A2, A3, A3.5, A4, B1, B2 et D3. Bien sûr, il y a aussi le XW et le PO. Dans les mêmes nuances que les capsules, vous trouverez le conditionnement en seringues de 4 gr. En outre, si vous préférez obtenir plusieurs teintes en même temps que le PO, vous pouvez acheter le Kit avec 5 seringues de 4 gr chacune ou le Kit avec 90 capsules de 0,2 gr avec les teintes que vous utilisez le plus fréquemment dans votre clinique dentaire.
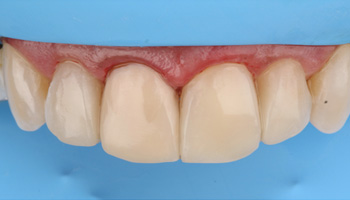
Cas clinique, restauration avec Filtek Universal :
Pour illustrer l'utilisation du Filtek Universal Restorative, nous reprenons comme exemple le cas du Dr Rafael Calixto qui a aidé un patient dont la dent avait été endommagée par un traumatisme au niveau du canal radiculaire, où la dentine tertiaire s'est formée très rapidement et où la dent était toujours plus saturée que le reste. Le masquage est généralement très fastidieux, surtout s'il s'agit de placer un opaquer blanc. Cela reviendrait à placer de nombreuses couches plus tard et à polir en excès.
Le patient voulait également faire poser une facette sur une dent voisine et avait également d'autres restaurations à remplacer. Le Dr Calixto a traité le cas de la manière suivante :
1. Conditionner, graver à l'acide. Scotchbond Universal pour l'ensemble de la restauration. (Les étapes que vous connaissez déjà).
2. Ensuite, on met une noisette de Pink Opaquer Rose et on procède à la spatulation.
3. Avec un pinceau, affinez la couche. Le pinceau est très utile dans le cas des opaquer car on obtient des couches très fines. De cette façon, vous pouvez obtenir la couleur aussi saturée que vous le souhaitez.




Cas : Dr. Rafael Calixto
4. Vous devez ensuite placer la couleur choisie, dans ce cas la couleur A2 a été utilisée. Avec celle-ci, vous réalisez la facette par-dessus l'Opaquer que nous avions placé à l'étape précédente.
5. Son polissage se fait comme on polit les composites classiques. Toute la forme anatomique (lignes, angles et zones planes) est réalisée avec des disques Soflex, à basse vitesse, sans eau.
6. Et pour la brillance finale, nous utilisons les spirales, tout comme les disques, à basse vitesse, mais avec application d'eau. Il y a deux spirales : l'une d'oxyde d'aluminium, de couleur beige pour le pré-polissage, qui permet d'enlever la texture laissée par le disque. Et la deuxième spirale, celle qui a le brillant final, avec la poussière de diamant, qui ne peut pas enlever la texture mais ajoute seulement de la brillance. Important : utilisez la vitesse réduite pour cette dernière étape, et faites-le toujours avec de l'eau.



Cas : Dr. Rafael Calixto
Pour conclure cet article, nous mentionnons les protocoles de polymérisation et répondons aux questions les plus fréquentes. En ce qui concerne l'épaisseur du matériau, toutes les teintes doivent être placées avec une épaisseur de 2 mm, à l'exception du Pink Opaquer qui doit être placé avec une épaisseur de 1 mm maximum. Une autre particularité du Pink Opaquer est que, même si vous utilisez une lampe LED, vous devez le polymériser plus longtemps que le reste. Les matériaux normaux sont photopolymérisés pendant 10 secondes avec une lumière LED et le Pink Opaquer pendant 20 secondes.
À quel moment utilisons-nous ensuite les autres produits de la gamme 3M ?
Le Filtek universel, peut être utilisé dans 83 à 85% des cas d'adultes arrivant à la clinique. Toutefois, dans le cas de très jeunes patients ou d'enfants dont les bords incisifs sont trop translucides, le reste des produits de 3M sera utilisé, car vous devrez obtenir un certain effet. Le nombre minimum de cas que vous ne pourrez pas traiter sera principalement celui de la dentisterie pédiatrique. Pour ces cas avec la technique du style italien, vous pouvez parfaitement utiliser le Filtek Supreme XTE et vous pourrez appliquer l'émail et le body. Cependant, si vous ne travaillez pas avec des enfants, vous pouvez opter pour le Filtek Universal et ne rencontrer aucune complication.
L'utilisation de Filtek Universal permet-elle de gagner du temps de travail en bouche ?
Oui, vous pouvez même économiser la moitié de votre temps de travail. C'est un matériau en résine, vous devrez de toute façon procéder à l'isolation. Une fois isolé, il suffit de mettre le matériau dans l'applicateur, de le porter à la bouche, sans avoir à mettre des millimètres d'émail et sans se soucier de dépasser. Vous appliquez une couche, vous l'éclairez, puis une autre couche que vous éclairez à nouveau et enfin, vous lui donnez une forme.
Dans quels cas l'utilisation de Filtek Universal est-elle indiquée ?
Il est indiqué pour les restaurations directes antérieures et postérieures (y compris les surfaces occlusales). Il peut également être utilisé pour les reconstructions de moignons, les contentions et les restaurations indirectes, (y compris les inlays, onlays et facettes).
Nous espérons vous avoir encouragés à utiliser ce composite universel qui présente tant d'avantages. N'oubliez pas de nous suivre sur nos réseaux sociaux, de vous tenir au courant de l'actualité du monde dentaire et de nous laisser vos commentaires, nous vous attendons !











