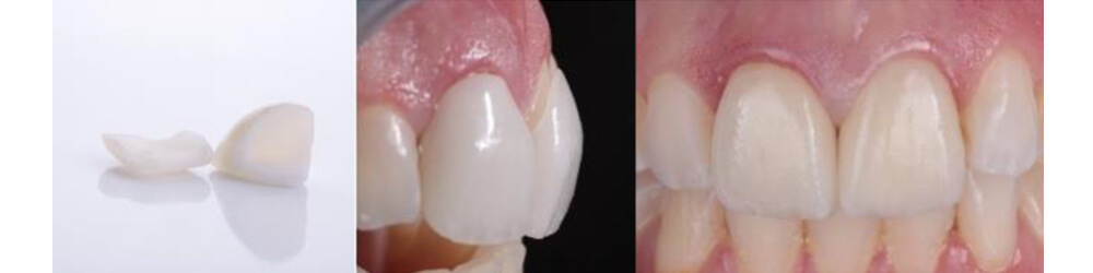
La cementación de carillas es uno de los momentos más determinantes del tratamiento estético. Después de todo el análisis previo, de las preparaciones minimamente invasivas y del trabajo en laboratorio, llega el paso donde se define la estética final, la integración con los tejidos y la durabilidad del tratamiento. Es una fase altamente técnica, en la que cada detalle (desde la limpieza inicial hasta el fotocurado final) contribuye de manera directa al éxito clínico.
Las carillas cerámicas actuales, más finas y translúcidas que nunca, exigen un protocolo adhesivo riguroso y preciso. El manejo correcto del sustrato, el control de la humedad, la selección del cemento y el tratamiento adecuado de cada superficie condicionan el resultado final. Por ello, el Prof. Dr. Paulo Monteiro propone un flujo clínico claro y reproducible basado en siete pasos fundamentales. Su caso clínico ilustra cómo, con un protocolo ordenado, la cita de cementación se transforma en una experiencia eficiente, segura y predecible, tanto para el profesional como para el paciente.
A continuación, desarrollamos esos siete pasos clave con una explicación detallada y recomendaciones prácticas recogidas del enfoque clínico del Dr. Monteiro.

Pasos clave para una cementación de carillas precisa
La cementación de carillas es un proceso secuencial en el que cada fase condiciona el resultado final. Un error en las primeras etapas puede comprometer la estética, la adaptación marginal o incluso la adhesión a largo plazo. Por eso, el Prof. Dr. Paulo Monteiro propone un protocolo clínico claro y reproducible que permite trabajar con seguridad, controlar las variables críticas y anticiparse a posibles complicaciones.
1. Limpieza de la preparación
El proceso comienza retirando las restauraciones provisionales y eliminando cualquier resto de cemento o placa que pudiera interferir en el ajuste o en el color final de las carillas. El Prof. Dr. Paulo Monteiro recomienda realizar una limpieza mecánica minuciosa utilizando una suspensión de piedra pómez. Las superficies vestibulares y oclusales pueden cepillarse con un pequeño cepillo, mientras que las zonas marginales, especialmente sensibles cerca de la encía, deben limpiarse con una bolita de espuma para evitar traumatismos.
Es importante evitar productos basados en bicarbonato de sodio, ya que pueden inhibir la adhesión. Como alternativa segura, puede utilizarse el polvo profiláctico con glicina Clinpro Prophy Powder, que no interfiere en la unión adhesiva y permite una limpieza eficaz sin comprometer el procedimiento.

2. Prueba de ajuste y estética
Antes de cementar definitivamente, es imprescindible comprobar que las carillas se adaptan correctamente y cumplen las expectativas estéticas del paciente. Cada carilla debe colocarse primero de forma individual y posteriormente en conjunto para evaluar adecuación, contactos proximales y continuidad de los márgenes.
Aunque puede hacerse en seco, esta prueba no reproduce el color final, ya que la cerámica, el diente y el cemento interaccionan ópticamente en un medio húmedo. Por ello, el Dr. Monteiro recomienda colocar una gota de agua entre la preparación y la carilla o, mejor aún, utilizar pastas de prueba. Estas permiten previsualizar el resultado final y seleccionar el tono adecuado del cemento, especialmente en carillas muy finas (0,3–0,5 mm) donde el color del cemento influye notablemente. Cementos como RelyX Veneer y RelyX Universal disponen de pastas try-in que replican fielmente su resultado cromático final.

3. Aislamiento y prueba final
Una vez verificado el ajuste inicial, las preparaciones deben aclararse, secarse e aislarse con dique de goma, lo que garantiza un campo seco, mejora el acceso y favorece la visibilidad durante la cementación. Cuando el aislamiento está colocado, se realiza una segunda prueba de las carillas, esta vez con el dique, el hilo de retracción o los clamps en su lugar. Este paso permite comprobar si existe alguna interferencia con el camino de inserción y ajustar la posición del aislamiento antes de la cementación definitiva, evitando problemas durante la inserción final.

4. Pretratamiento de la carilla
Para seleccionar el protocolo correcto, es esencial saber qué material ha utilizado el laboratorio y si ya se ha realizado algún pretratamiento.
Las cerámicas vítreas, como feldespática o disilicato de litio, requieren grabado con ácido fluorhídrico para obtener micro-retenciones. Tras el grabado, deben aclararse a fondo para eliminar las sales blancas precipitadas en la superficie.
Por otro lado, las cerámicas de óxido, como la zirconia, no deben grabarse con ácido fluorhídrico; en su lugar, se recomienda arenarlas con alúmina y limpiarlas posteriormente con alcohol.
Si el laboratorio ya grabó o arenó previamente las restauraciones, tras la prueba en boca las superficies pueden estar contaminadas. En ese caso, las cerámicas vítreas deben limpiarse con ácido fosfórico durante un minuto, mientras que en zirconia no debe emplearse ácido fosfórico, ya que reduce la adhesión, y se recomienda usar hipoclorito de sodio o agentes específicos de limpieza.
Una vez limpia, la carilla debe secarse completamente y aplicarse el silano o un adhesivo universal con silano integrado, como Scotchbond Universal Plus, que combina silano y MDP en una misma formulación y permite tratar tanto cerámicas vítreas como zirconia. Tras frotarlo 20 segundos, debe evaporarse el solvente con aire y proteger la superficie de la luz.

5. Pretratamiento de la preparación
En la pieza dental, las zonas sin esmalte (como reconstrucciones de composite o dentina expuesta) deben arenarse con óxido de aluminio, lo que mejora la retención micromecánica. Posteriormente, las áreas de esmalte se graban con ácido fosfórico durante 15 segundos, se aclaran minuciosamente y se secan.
Después, se aplica el adhesivo correspondiente al cemento seleccionado, por ejemplo Scotchbond Universal Plus en combinación con los cementos RelyX Veneer o RelyX Universal. El adhesivo debe frotarse durante 20 segundos y airearse hasta eliminar totalmente el solvente, formando una película brillante. En este punto no debe fotopolimerizarse, para evitar aumentar el espesor de la capa y dificultar el asentamiento de la carilla.

6. Aplicación del cemento, colocación y limpieza inicial
Las carillas estéticas deben cementarse con un cemento de resina adhesivo, utilizando un sistema de adhesión separado.
Los cementos fotopolimerizables, como RelyX Veneer, ofrecen tiempo de trabajo ilimitado, lo que los hace ideales en procedimientos complejos o múltiples. Sin embargo, su fotocurado puede verse limitado en carillas más gruesas.
Las opciones de curado dual, como RelyX Universal, combinan estética y buena resistencia, aunque tienen un tiempo de trabajo más restringido.
Una vez elegido el cemento, debe aplicarse una capa uniforme en la superficie interna de la carilla, asegurándose de cubrirla completamente y evitando burbujas. El exceso es normal y se retirará después.
En carillas múltiples, el Dr. Monteiro recomienda comenzar por los incisivos centrales y continuar hacia laterales y caninos, ya que los centrales son los más visibles y determinan la simetría estética. Tras insertar cada carilla, se elimina el exceso inicial, se estabiliza la restauración y se pasa hilo dental por los márgenes interproximales para retirar material fluido antes del fotocurado.

7. Fotocurado y limpieza final
Un fotocurado completo es esencial para la longevidad funcional y estética. Un curado insuficiente puede provocar tinción marginal o descementación. Por ello, es recomendable trabajar con lámparas de alta potencia, como Elipar DeepCure, y verificar periódicamente su rendimiento.
Antes de fotopolimerizar, el Dr. Monteiro aplica gel de glicerina sobre los márgenes para evitar la capa inhibida por oxígeno. Después, realiza el fotocurado durante 20 segundos en cara palatina y 20 segundos en cara vestibular, ajustando los tiempos según el grosor del material cerámico.
Tras el curado, se eliminan los restos remanentes de cemento con una cuchilla y se perfeccionan los márgenes con pulidores de goma y discos abrasivos, logrando un acabado suave, nítido y bien integrado.

Cada uno de los pasos descritos contribuye al éxito global de la cementación de carillas. Desde la limpieza inicial hasta el pulido final, el procedimiento exige precisión, control y conocimiento profundo de los materiales. Siguiendo un protocolo claro y constante, como el propuesto por el Prof. Dr. Paulo Monteiro, el profesional puede trabajar con seguridad y conseguir resultados estéticos, estables y predecibles.
La cementación no es simplemente el último paso del tratamiento: es el momento en que toda la planificación previa se materializa en la sonrisa del paciente. Dominar esta fase permite ofrecer restauraciones que armonizan con los tejidos, mantienen su color en el tiempo y cumplen con las expectativas funcionales y estéticas que buscan los pacientes en odontología moderna.

¡Hasta aquí nuestro artículo de hoy! Esperamos que te haya servido de ayuda y si te ha gustado no dudes en compartirlo. Síguenos en nuestras redes sociales para estar al día de todas las novedades del sector dental y nuestras ofertas especiales. ¡Hasta pronto!








