En la práctica clínica diaria, la elección del material provisional puede marcar la diferencia entre un tratamiento predecible y uno lleno de complicaciones. Tempsmart DC de GC se presenta como una solución avanzada que combina rapidez, resistencia y estética en un solo producto. Se trata de un composite de polimerización dual para restauraciones provisionales, diseñado para simplificar los procedimientos clínicos sin comprometer la calidad del resultado. Gracias a su tecnología innovadora, permite fabricar provisionales altamente estéticos y resistentes en apenas unos minutos, optimizando el flujo de trabajo en clínica.
Además, su formulación libre de plastificantes garantiza superficies más limpias, menos pegajosas y con un acabado superior, facilitando el pulido y mejorando la experiencia tanto para el profesional como para el paciente. Tempsmart DC no solo cumple con los requisitos básicos de un provisional, sino que eleva esta fase a un nuevo nivel, convirtiéndola en una herramienta clave dentro del tratamiento restaurador.
¿Por qué Tempsmart DC marca la diferencia?
Uno de los aspectos más destacados de Tempsmart DC es su sistema de polimerización dual, que combina autopolimerización y fotopolimerización. Esta tecnología permite al profesional trabajar con mayor tranquilidad durante la colocación del provisional y, al mismo tiempo, acelerar el fraguado cuando sea necesario mediante la aplicación de luz. Esto se traduce en un mejor control clínico, una mayor precisión en la adaptación y una importante reducción de los tiempos de trabajo en consulta. De hecho, es posible obtener restauraciones provisionales resistentes y estéticas en aproximadamente tres minutos, lo que mejora notablemente la eficiencia en tratamientos unitarios y rehabilitiones más complejas.
Otra de sus grandes ventajas es que se trata del primer material provisional dual libre de plastificantes, lo que mejora significativamente el acabado final. Gracias a ello, las restauraciones presentan una superficie más lisa, limpia y no pegajosa, facilitando tanto el manejo clínico como el pulido posterior. Además, prácticamente no genera capa de inhibición por oxígeno, lo que permite conseguir un acabado brillante de forma rápida y sencilla.
A nivel mecánico, Tempsmart DC incorpora una red de polímeros de alta densidad, diseñada para ofrecer una elevada resistencia a la fractura y al desgaste. Esto lo convierte en una opción especialmente fiable para coronas unitarias, puentes de corto y largo tramo, así como para provisionalizaciones de larga duración, donde la resistencia del material resulta fundamental.
Desde el punto de vista estético, sus rellenos ultrafinos permiten obtener un brillo superior y una apariencia mucho más natural. Además, está disponible en varios colores con fluorescencia natural, lo que facilita una mejor integración con la dentición del paciente y mejora el resultado final, especialmente en zonas visibles o tratamientos estéticos.
Por último, destaca también por su facilidad de reparación y rebase. Durante la fase provisional es habitual realizar pequeños ajustes o modificaciones, y Tempsmart DC permite hacerlo de forma sencilla, ya sea con el propio material o con otros composites compatibles. Esto aporta una gran versatilidad clínica y convierte la provisionalización en una fase mucho más predecible y eficiente.
Caso clínico: rehabilitación funcional y estética con Tempsmart DC
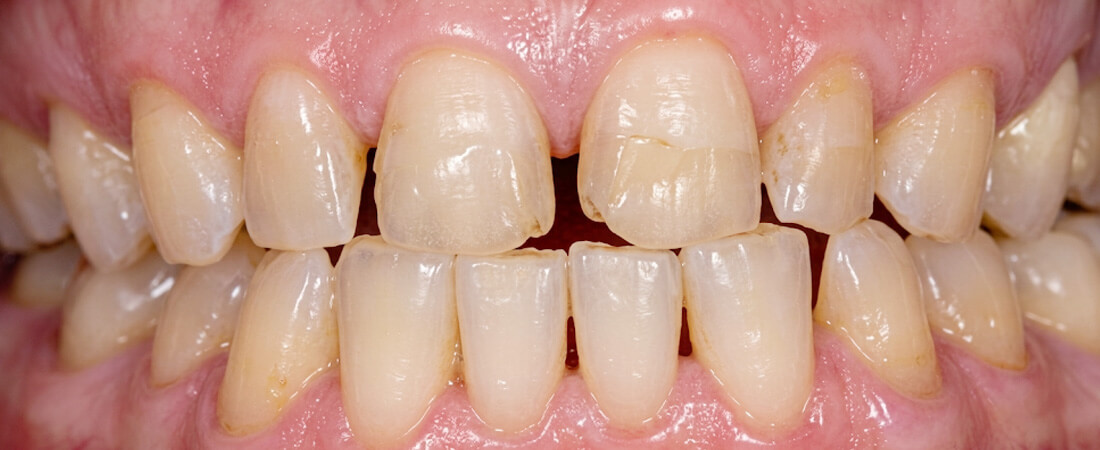
La verdadera eficacia de un material se demuestra en la práctica clínica. En este caso, se presenta una rehabilitación completa en un paciente con desgaste dental severo, donde Tempsmart DC jugó un papel fundamental.
Situación inicial y planificación
El paciente presentaba una dentición muy desgastada, con necesidad de múltiples restauraciones y una pérdida de dimensión vertical. Ante la complejidad del caso, se realizó una planificación detallada mediante encerado diagnóstico y la confección de un molde en laboratorio.

Este paso fue clave para garantizar que las restauraciones provisionales no solo cumplieran una función protectora, sino que también sirvieran como guía para el resultado final.
Procedimiento clínico paso a paso
Tras la preparación de los dientes, se procedió a la realización de las restauraciones provisionales utilizando Tempsmart DC. El protocolo seguido fue el siguiente:
- Aplicación del material en el molde previamente confeccionado.
- Colocación intraoral para la autopolimerización inicial.
- Retirada del provisional y fotopolimerización extraoral para aumentar la resistencia.
- Eliminación de excesos y ajuste de márgenes.
- Pulido final en pocos pasos.

Una de las grandes ventajas observadas fue la rapidez de endurecimiento tras la fotopolimerización, lo que permitió trabajar de forma ágil y precisa. Además, el material mostró una excelente manejabilidad, facilitando la eliminación de excesos y la obtención de márgenes lisos.
Resultados clínicos
Los resultados fueron especialmente destacables tanto desde el punto de vista funcional como estético:
- Todas las restauraciones provisionales de la arcada superior se completaron en menos de 20 minutos.
- Excelente adaptación marginal.
- Alta estética con acabado brillante.
- Gran comodidad para el paciente.
Una vez cementadas las restauraciones provisionales, tanto el clínico como el paciente pudieron evaluar de forma inmediata el resultado final esperado, lo que permitió realizar ajustes antes de la fase definitiva.
Importancia de la fase provisional
Este caso pone de manifiesto un aspecto clave: la provisionalización no debe considerarse un paso secundario.
Gracias a materiales como Tempsmart DC:
- El paciente puede adaptarse a cambios funcionales (como la dimensión vertical).
- El clínico puede validar la estética y la oclusión.
- Se reducen riesgos en la fase definitiva.
Además, el material permite ajustes y reparaciones sencillas durante el periodo provisional, lo que aporta una gran versatilidad clínica.

Tempsmart DC representa una evolución en los materiales provisionales, ofreciendo una combinación única de rapidez, resistencia y estética. Su facilidad de uso, junto con sus excelentes propiedades mecánicas y estéticas, lo convierten en una opción ideal para clínicas que buscan optimizar sus tratamientos y mejorar la experiencia del paciente.
En definitiva, un material que transforma la fase provisional en una verdadera herramienta de diagnóstico, planificación y éxito clínico.
Esperamos que este post te haya sido de utilidad, para mantenerte actualizado, síguenos en nuestras redes sociales en donde te compartiremos, más artículos, información útil, ofertas y promociones del sector dental ¡Te esperamos!





