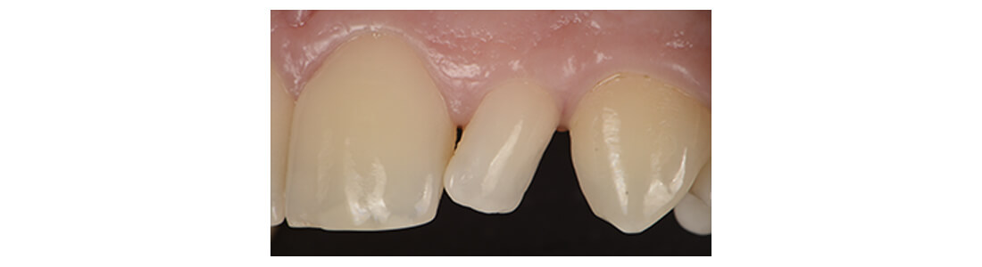
¿Qué puede tener de sencillo una restauración en forma de clavija? Aunque este tipo de anomalía dental supone un reto estético y morfológico, contar con materiales avanzados puede simplificar notablemente el procedimiento. Con el composite universal Filtek Easy Match de Solventum (3M Health Care), puedes centrarte en lo verdaderamente importante: forma, contorno y anatomía, obteniendo un resultado de aspecto natural sin depender de múltiples capas o combinaciones de color.
En este artículo presentamos un caso clínico real llevado a cabo por el Dr. Walter Devoto, donde se demuestra cómo este material facilita la restauración conservadora de un lateral superior en forma de clavija, ofreciendo predictibilidad y estética en un solo tono.
El Dr. Walter Devoto se graduó con honores en Odontología y Prótesis Dental en 1991 en la Universidad de Génova (Italia). Su trayectoria se ha centrado en la odontología conservadora y estética, áreas en las que desarrolla su actividad clínica en Sestri Levante y Portofino, además de colaborar con prestigiosas clínicas en Europa. Ha sido profesor y demostrador en la Universidad de Génova, conferenciante en universidades como Siena y Madrid, y actualmente es profesor en la Universidad Internacional de Cataluña (Barcelona) y profesor visitante en la Université de la Méditerranée (Marsella). Su experiencia y enfoque estético hacen de este caso un referente para quienes buscan procedimientos conservadores de alta calidad.

Procedimiento del caso clínico
A continuación, detallamos el flujo clínico seguido por el Dr. Devoto para la restauración directa del incisivo lateral en forma de clavija utilizando Filtek Easy Match:

- Tras el aislamiento y la retracción gingival, se realiza una preparación mínima del esmalte utilizando una fresa de diamante fina, únicamente para optimizar la adhesión sin comprometer tejido sano.
- A continuación, se procede al grabado con ácido fosfórico tanto de la preparación como de las zonas proximales de los dientes adyacentes, con el fin de obtener una superficie óptima para el sistema adhesivo.
- Se aplica Scotchbond Universal Plus de Solventum (3M Oral Care) sobre el diente preparado y sobre las áreas grabadas de los dientes vecinos. Posteriormente se seca suavemente y se fotopolimeriza según el protocolo.
- Con el composite universal Filtek Easy Match, se reconstruye primero el contorno distal del incisivo central y la cara mesial del canino, creando una base que guiará la posición final del lateral.
- Sobre la cara bucal del lateral se coloca un incremento de Filtek Easy Match, dando forma al contorno vestibular para generar un andamio que facilite la posterior definición de los contornos mesial y distal.
- Utilizando una matriz seccional, se modela la pared distal del lateral, estableciendo un punto de contacto adecuado y bien integrado con el canino.
- Se repite el mismo protocolo en la cara mesial del lateral, asegurando igualmente un punto de contacto correcto y estable con el incisivo central.
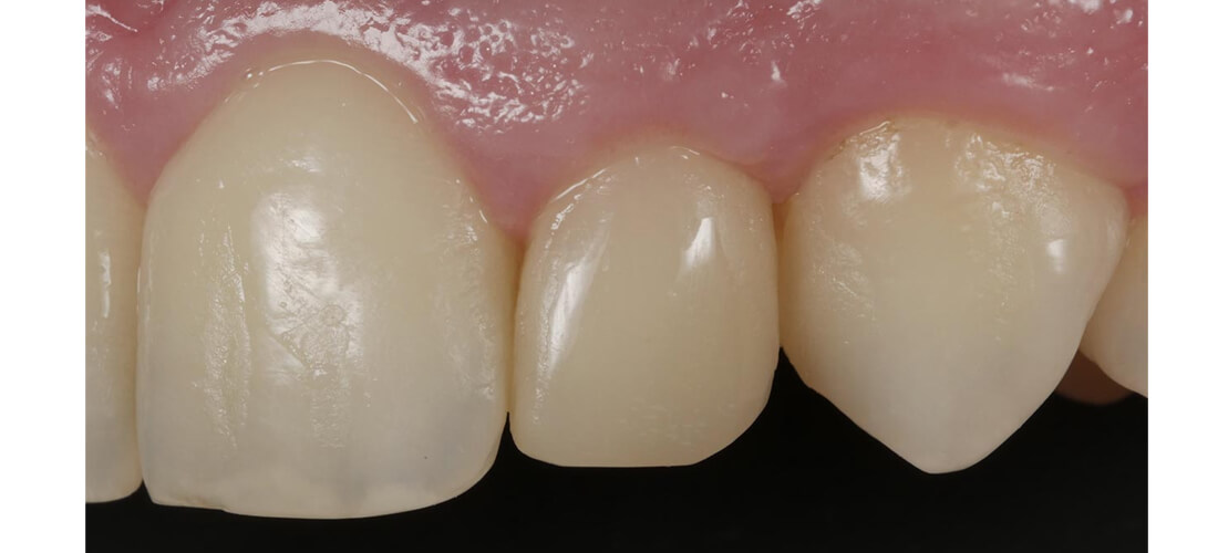
- Una vez completados los volúmenes principales y definidos los puntos de contacto, la restauración queda preparada para la fase final de acabado y pulido, donde se perfecciona la anatomía y la textura superficial.

La restauración de un lateral en forma de clavija no tiene por qué convertirse en un procedimiento complejo o impredecible. El caso clínico del Dr. Walter Devoto demuestra cómo un composite universal bien diseñado, como Filtek Easy Match, permite simplificar el flujo de trabajo y centrarse en la anatomía sin preocuparse por estratificaciones complicadas.
Este enfoque combina mínima invasión, estética inmediata y alta predictibilidad, convirtiéndose en una excelente opción para restauraciones directas conservadoras. Gracias a materiales que se adaptan ópticamente al diente, el profesional puede ofrecer resultados naturales en menos tiempo y con un proceso clínico más eficiente.
Esperamos que este post te haya sido de utilidad, para mantenerte actualizado, síguenos en nuestras redes sociales en donde te compartiremos, más artículos, información útil, ofertas y promociones del sector dental ¡Te esperamos!








