Dans la dentisterie d'aujourd'hui, les progrès des matériaux et des techniques ont conduit à une révolution dans le domaine de la restauration esthétique et fonctionnelle des dents. Le composite est l'un des matériaux les plus utilisés dans la pratique clinique en raison de sa polyvalence, de son esthétique et de sa capacité à adhérer à la structure de la dent. Cependant, tous les composites n'offrent pas les mêmes avantages et le choix du bon matériau peut faire une différence significative dans la réussite et la longévité des traitements.
Dans cette catégorie, le composite universel Filtek Easy Match de Solventum (3M Health Care) a attiré l'attention de nombreux professionnels. Ce matériau se distingue par son « effet caméléon », une propriété avancée qui permet au composite de se fondre visuellement dans la structure naturelle de la dent, en s'adaptant à la teinte de la dent d'une manière surprenante. Grâce à cette capacité de mimétisme, il simplifie le processus de sélection des teintes, éliminant le besoin de teintes multiples et facilitant la création de restaurations esthétiques d'aspect naturel.
En outre, le composite Filtek Easy Match optimise le flux de travail clinique en réduisant la quantité de matériaux nécessaires dans le cabinet. En tant que composite universel, il est capable de s'adapter à différents types de restaurations dans différentes zones de la bouche, offrant une flexibilité idéale pour les dentistes qui cherchent à faire plus avec moins, sans compromettre la qualité des résultats.
Dans cet article, nous aborderons deux cas cliniques dans lesquels Filtek Easy Match a été utilisé avec succès dans diverses situations, démontrant son adaptabilité et son efficacité dans les traitements esthétiques et les restaurations complexes. Les deux cas reflètent le potentiel de ce matériau pour obtenir des résultats esthétiques remarquables et durables, avec un processus d'application efficace et simplifié.

Cas clinique 1 : Est-il possible de faire plus avec moins ? Réussir l'effet caméléon - Dr Adam Hodge
À propos du Dr Adam Hodge :
Il est diplômé en 2000 du Medical College of Georgia. Il a effectué une résidence en médecine générale au Palmetto Richland Memorial Hospital en se concentrant sur la dentisterie chirurgicale et cosmétique. Depuis 20 ans, il gère le cabinet Hodges and Hodges Comprehensive Dental Medicine avec son frère et précédemment son père à Asheville, en Caroline du Nord. Il est diplômé du Pankey Institute, du Spear Center et du continuum cosmétique de LSU.
Résumé du cas clinique :
Selon le Dr Adam Hodge, l'effet caméléon en dentisterie représente le défi d'imiter la couleur naturelle des dents, une qualité particulièrement recherchée dans les matériaux d'obturation. « Idéalement, nous aimerions obtenir cet effet avec une gamme réduite de couleurs, ce qui simplifierait le processus et rendrait la vie plus facile », explique le Dr Hodge.
Pour ce faire, il a utilisé le composite universel Filtek Easy Match et l'adhésif Scotchbond Universal Plus, tous deux de Solventum (3M Health Care), pour restaurer plusieurs lésions de classe III dans la région antérieure. « Les résultats sont excellents en raison de leur capacité à s'adapter à la structure de la dent et à se fondre parfaitement sous transillumination », explique-t-il. Il souligne que le matériau facilite non seulement le choix de la teinte, mais qu'il s'adapte également de manière naturelle et homogène à l'environnement dentaire, ce qui est essentiel pour les traitements dans la zone visible. « J'ai été très favorablement impressionné par les résultats et la facilité de sélection des teintes », conclut le Dr Hodge, soulignant l'efficacité de Filtek Easy Match dans la réalisation de restaurations esthétiques et fonctionnelles de haute qualité.
Procédure du cas clinique :

- Préopératoire : dégradation du monomère, restaurations cassées et vieillies.
- Préparation faciale : diverses restaurations de classe III avec biseaux.
- Vue linguale des préparations.
- Immédiatement après l'opération.
- Transillumination montrant une liaison à peine perceptible.
- Résultat final : suivi après 3 semaines.
Cas clinique 2 : Améliorer le sourire avec le composite - Dr María Cura
À propos du Dr María Cura :
Maria est dentiste et docteur en dentisterie de l'Universidad Rey Juan Carlos (Espagne) avec une mention internationale. Elle s'est spécialisée en dentisterie restauratrice esthétique à la même université. Diplômée en prosthodontie SCOE. Chargée de cours à temps partiel dans le cadre du master en dentisterie restauratrice de l'Universidad Rey Juan Carlos. Auteur de plusieurs articles de recherche dans des revues internationales ayant un indice d'impact. Elle enseigne régulièrement la dentisterie esthétique et a reçu plusieurs prix pour ses recherches et son activité clinique. Clinique exclusive de dentisterie restauratrice esthétique à Madrid (Espagne).
Résumé du cas clinique :
Comme l'explique le Dr Maria Cura, les petites restaurations au niveau du bord incisif sont particulièrement difficiles à réaliser en raison de l'espace limité et de la nécessité d'équilibrer la translucidité et l'opacité. « Travailler avec de petites restaurations au niveau du bord incisif est extrêmement complexe. L'espace disponible est très limité, et bien que l'utilisation d'une teinte unique simplifie la procédure, il est essentiel d'obtenir de bons résultats esthétiques », explique-t-elle.
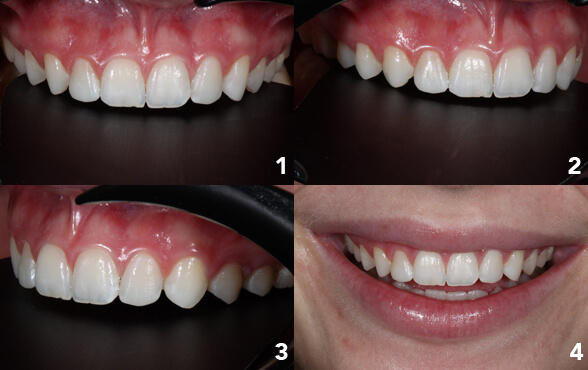
Dans ce cas clinique, nous avons une patiente de 21 ans en bonne santé, mais préoccupée par l'apparence de son sourire. « J'aimerais améliorer mon sourire. Mes dents latérales ont l'air cassées et la canine est trop pointue », a déclaré la patiente lors de sa consultation.
Pour relever ce défi, le composite universel Filtek Easy Match a été utilisé. Selon le Dr Cura, ce matériau se distingue par son opacité naturellement adaptable, qui lui permet d'être translucide comme l'émail et opaque comme la dentine juste là où c'est nécessaire, ce qui garantit un résultat esthétique naturel et satisfaisant. Le choix de ce composite a permis de simplifier la procédure tout en obtenant le naturel souhaité, un avantage essentiel pour les traitements dans les zones visibles.
Procédure du cas clinique :

- Situation antérieure.
- Vue vestibulaire : anatomie des dents de devant.
- Vue vestibulaire : anatomie du numéro 12.
- Vue vestibulaire : anatomie des numéros 22 et 23.

- Test de couleur sur photographie normale et polarisée. Les couleurs brillants s'harmonisent mieux en raison de leur valeur plus élevée.

- Isolation à l'aide d'une digue en caoutchouc.
- Élimination du biofilm : nettoyage du biofilm à l'aide d'une pâte de pierre ponce et d'une brosse de prophylaxie.
- Mordançage avec un gel d'acide phosphorique : laisser agir 15 secondes sur la surface de l'émail.
- Application de l'adhésif Scotchbond Universal Plus : agiter 20 secondes sur la surface de la dent, appliquer de l'air pour évaporer les solvants et photopolymériser pendant 10 secondes.
- Application de Filtek Easy Match couleur Bright.
- Façonner l'anatomie de la dent n° 12 à l'aide d'une spatule.
- La brosse permet de modeler et d'estomper le composite sur la surface de la dent.
- Toutes les restaurations sont terminées avant le polissage.
- Application d'un gel de glycérine avant la photopolymérisation pour éviter la couche d'inhibition.

- Résultat final après finition et polissage avec les disques et spirales Sof-Lex de Solventum (3M Health Care).
- Vues latérales des restaurations finales d'un côté.
- Vues latérales des restaurations finales de l'autre côté.
- Vérification de la satisfaction de la patiente quant à son nouveau sourire.
Les cas cliniques présentés avec le composite universel Filtek Easy Match de Solventum (3M Health Care) mettent en évidence son efficacité et sa polyvalence en tant que solution innovante pour les traitements de restauration en dentisterie esthétique et fonctionnelle.
Dans le cas du Dr Adam Hodge, l'« effet caméléon » du matériau a permis de réaliser des restaurations de classe III avec une intégration impeccable des couleurs, en simplifiant la sélection des teintes et en réduisant les temps de travail, tout en obtenant des résultats de haute qualité. Dans le cas du Dr Maria Cura, Filtek Easy Match a été la clé pour surmonter le défi des restaurations sur les bords incisifs, offrant un équilibre parfait entre la translucidité et l'opacité qui a permis de recréer le naturel du sourire chez une patiente jeune et exigeante.
Ces deux cas montrent que ce composite universel facilite non seulement l'application dans différentes zones de la bouche, mais qu'il permet également d'obtenir des résultats esthétiques exceptionnels grâce à une procédure plus efficace. Sa capacité à s'adapter aux besoins spécifiques de chaque traitement en fait un outil essentiel pour les dentistes qui cherchent à optimiser leur flux de travail sans compromettre la qualité du résultat final.
En résumé, Filtek Easy Match réaffirme sa position de matériau innovant qui allie simplicité, esthétique et fonctionnalité, contribuant à améliorer la pratique clinique et, surtout, la satisfaction du patient.
Nous espérons que cet article vous a été utile, pour vous tenir au courant, suivez-nous sur nos réseaux sociaux où nous partagerons avec vous d'autres articles, des informations utiles, des offres et des promotions dans le secteur dentaire. Nous vous attendons !




